浙江微流纳米生物技术有限公司
雷公藤红素醇质体制备
雷公藤红素,又叫南蛇藤素,是一种三萜类化合物,来源于卫矛科植物雷公藤的根、叶和花,具有抑抗炎、抗肿瘤、抗生育、免疫抑制等多种药理活性。但雷公藤红素水溶性差,口服吸收较差,且毒性较大,限制了其临床应用。
醇质体因含有高浓度的醇而具有较高的双分子层流动性、易于变形及可穿透皮肤屏障等优点;且醇质体使皮肤具有蓄积药物的功能,达到缓释的作用;且醇质体对人体皮肤无明显刺激性,可以提高难溶性药物的生物利用度并极大降低药物因口服产生的毒副作用。醇质体已成为经皮给药研究的热点。
1. 制备方法
精密称取雷公藤红素 10 mg、蛋黄卵磷脂 250 mg、胆固醇 100 mg 于小烧杯中,加入无水乙醇 10 ml 溶解,密封,50℃恒温水浴使其溶解,构成有机相;另取超纯水 30 ml 置于平底烧瓶中,置于恒温磁力搅拌器上,加热搅拌,搅拌温度为 50℃,构成水相。在密闭条件下用注射器将有机相缓慢加入到水相中,继续搅拌 2 h,自然冷却后超声 30 min,将所得混悬液用 0.45 μm 孔径有机系滤膜过滤,即得。
2. 实验结果分析
(1)粒径及电位
雷公藤红素醇质体混悬液为样品,35%的乙醇水溶液为样品稀释液,测其粒径及 zeta 电位,结果表明,雷公藤红素醇质体的粒径分布较均匀,基本呈正态分布,平均粒径为(401.3±5.5)nm,PDI 为(0.21±0.02),zeta 电位为(-2.75±0.1)mV。

图一 雷公藤红素醇质体粒径

图二 雷公藤红素醇质体电位
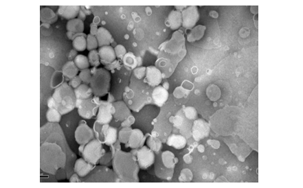
(2)雷公藤红素醇质体的形态观察
透射电镜测得的雷公藤红素醇质体形状规则,近似球形。

图三 雷公藤红素醇质体透射电镜图
(3)雷公藤红素醇质体的稳定性考察
在 4℃、25℃的温度下于 0、1、3 个月取样,测定样品的 size、PDI、EE 的变化。

图四 稳定性实验结果(25℃)

图五 稳定性实验结果(4℃)
在室温条件下,醇质体的粒径及 PDI 随着时间延长显著增大,而包封率显著减小,且放置 3 个月后,出现分层现象;冷藏条件下,醇质体的 size、PDI 略有增大,EE 变化不大,因此,醇质体易冷藏保存。
部分文字来源网络,侵删

ZB 20260109